济南市中区二环南路1701号 电话:0531-58676666
近日,济南南郊医院普外科在王兆太主任的带领下,成功完成了一例高难度的腹腔镜下腹腔巨大囊肿切除术。手术因囊肿体积异常巨大、解剖关系复杂而极具挑战,南郊医院普外科、妇科、手术室、麻醉科等多学科团队紧密协作,攻坚克难,最终确保了手术的圆满成功,目前患者术后生命体征平稳,正在顺利康复中。

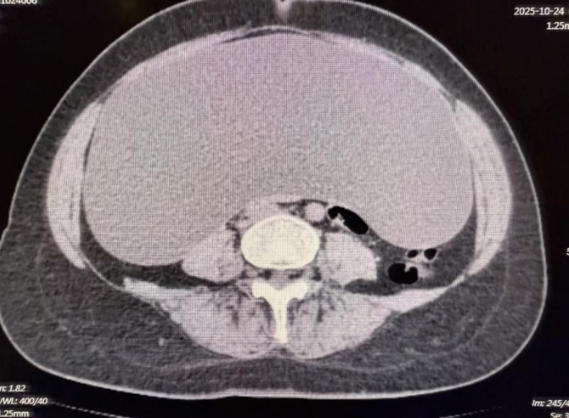
患者因发现腹腔内巨大占位性病变来到济南南郊医院就诊。术前的影像学检查结果令人震惊:腹腔内可见一范围约45cm×35cm×14cm的巨大囊性低密度影,几乎填满了整个腹腔空间,对周围脏器形成了明显的压迫。如此巨大的囊肿,不仅给患者带来了沉重的生理负担和心理压力,也对手术团队提出了极高的技术要求——如何在有限的操作空间内安全、完整地切除囊肿,同时避免损伤周围重要组织和血管,是摆在医生面前的首要难题。
面对这一复杂病例,普外科王兆太主任组织团队进行了周密的术前讨论,制定了详尽的手术方案,最终决定迎难而上,采用创伤更小、恢复更快的腹腔镜微创技术进行切除。
手术过程中,挑战接踵而至。如术前预料,腹腔镜探查发现,囊肿体积巨大,严重挤占了正常腹腔空间,使得手术操作区域异常狭小。王兆太主任凭借丰富的经验和精湛的技术,沉着指挥,团队首先小心地进行分阶段穿刺引流,缓慢而稳定地引流出囊内液体共计约7500毫升,极大地减轻了腹腔内压力,为后续操作创造了关键的空间条件。
在囊肿体积缩小后,手术团队得以更清晰地探查其来源,发现囊肿与右侧卵巢及圆韧带关系密切。为确保手术的精准性和安全性,特别是涉及妇科专属领域时的处理万无一失,普外科团队立即启动多学科协作机制,特别邀请医院妇科范桂芬主任莅临手术室进行现场指导。范桂芬主任迅速到位,凭借其深厚的妇科专业造诣,对囊肿与附件组织的黏连分离、重要结构的辨识保护等关键步骤提供了至关重要、精准高效的指导意见,为顺利完成囊肿的精细剥离和后续处理起到了不可或缺的作用。
此外,整个手术过程的顺利开展,也离不开其他科室的坚实支撑。手术室护理团队默契配合,确保了器械传递准确、设备运行正常;麻醉科团队则全程严密监护患者生命体征,精准调控麻醉深度,为手术的顺利进行提供了平稳、安全的生命保障。
在多学科专家的通力合作与无缝衔接下,这台高难度手术最终取得了圆满成功。巨大囊肿被完整切除,术中出血量少,最大程度地减少了患者的创伤。术后患者安返病房,生命体征各项指标平稳。
此次腹腔镜下腹腔巨大囊肿切除术的成功,不仅彰显了济南南郊医院在处理复杂疑难病例方面的高超技术水平,更是医院坚持以患者为中心、大力推行多学科协作诊疗(MDT)模式的生动实践。它充分体现了医院强大的综合救治能力和团队协作精神,标志着医院在微创外科领域和急危重症综合诊疗水平上达到了新的高度,为保障人民群众的生命健康奠定了更加坚实的基础。
(网络预约 当日就诊 *所有信息已加密* )